
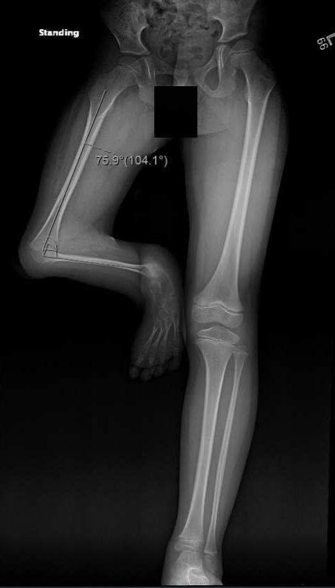
When Master “Fh” was born on March 23, 2015, in Riyadh, Saudi Arabia, his family’s joy was quickly overshadowed by the challenges they were about to face. Fh came into the world with a rare condition—complete tibial deficiency, Jones type 1A. His right leg had no tibia, and his foot was severely deformed, with his knee fixed in a position that made it impossible for him to walk like other children.

For years, Fh found a way to move using his right knee, despite its severe flexion of over 100 degrees, but the limitations were stark. His ankle and foot were completely nonfunctional, and X-rays revealed the absence of the tibia, along with a severely deformed foot. Reconstructive surgery was not an option.
In December 2020, Fh’s journey took a hopeful turn when he was referred to the King Faisal Specialist Hospital & Research Center (KFSH&RC) from King Saud Medical City. At KFSH&RC, a team of dedicated professionals, led by Consultant Orthopedic Surgeon Dr. Thamer Suliman Alhussainan, evaluated his case. The medical team presented a difficult yet transformative solution: amputation of the nonfunctional limb and fitting of a prosthesis.

“Initially, Fh’s parents were hesitant. The idea of amputating their son’s leg was daunting, and they grappled with the decision. It was during this time that the prosthetics team, including Mr. Mousa Al Matrafi, Ms. Halla H. Hakami, stepped in to offer guidance, counseling, and reassurance. We explained the possibilities that a prosthesis could open up for Fh—a chance for him to stand, walk, and even run like other children” Mr. Imran sadiq , Senior Orthotist Prosthetist at KFSH&RC told Orthotics Prosthetics Pakistan.
After much thought, the family placed their trust in the team. In February 2022, Dr. Thamer performed the surgery, and Fh’s life began to change.
‘’Two months after the surgery, Fh was ready for his first prosthesis. A through-knee prosthesis was custom-made for him, and the day he stood on it for the first time was unforgettable. For the first time in his life, he stood tall, balancing on both legs. He took his first independent steps, a moment that brought tears of joy to his parents and a sense of accomplishment to our team.” Mr. Imran recalled those moments.
Before this, Fh could only stand on his unaffected left leg, with his small, contracted right leg providing no support. Now, he could walk independently—a milestone that marked the beginning of a new chapter in his life.

A year later, Fh’s story took another extraordinary turn. At KFSH&RC, we introduced advanced 3D printing technology to prosthetics, and Fh became the first patient in Saudi Arabia to be fitted with a 3D-printed knee disarticulation prosthesis.
This new prosthesis was lighter, more comfortable, and highly functional. With it, Fh could do things that once seemed unimaginable—jumping, running, and playing like any other child his age. Watching him move with such freedom and joy was a testament to how far he had come.
Fh’s journey is not just a personal success story; it reflects the exceptional care and innovation at KFSH&RC. As one of the leading medical institutions in the region, KFSH&RC is renowned for its cutting-edge facilities and multidisciplinary approach to healthcare. The introduction of 3D-printed prosthetics is just one example of how we continuously strive to provide life-changing solutions for our patients.

For Fh’s parents, the transformation was nothing short of a miracle. “Seeing him happy, active, and playing like any other child is a dream come true,” they said, expressing their deep gratitude to the entire team.
Fh’s story is a reminder of the incredible possibilities that emerge when medical expertise, innovation, and compassion come together. It is a story of resilience, hope, and the power of technology to change lives.
“At KFSH&RC, we are honored to have been a part of Fh’s journey and remain committed to helping more families like his overcome challenges and embrace brighter futures.” He expressed.
About Mr. Imran Sadiq :

Imran Sadiq is a highly experienced Senior Prosthetist & Orthotist at King Faisal Specialist Hospital & Research Center (KFSH&RC) in Riyadh, Saudi Arabia. Graduated from Dow University of Health Sciences, karachi , With a deep passion for rehabilitation and innovation in prosthetics, Imran has dedicated his career to transforming lives by combining advanced technology with personalized care. Known for his expertise and empathetic approach, he has played a pivotal role in pioneering 3D-printed prosthetics in Saudi Arabia, helping patients overcome physical challenges and regain their independence.